دراسة تظهر تأثير لحظات الإدراك على الذاكرة و كيف يضيء الدماغ أفكارك

متابعة / محمد نجم الدين وهبي
وجد علماء أن لحظات الإلهام المفاجئ التي غالبا ما يتم تصويرها في الأفلام على هيئة مصباح متوهج فوق الرأس، ليست مجرد خيال فني، بل لها أساس عصبي حقيقي يغير فعليا من بنية نشاط الدماغ.
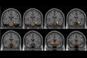
واستخدم فريق بحثي من جامعة ديوك وجامعة هومبولت، بقيادة البروفيسور روبرتو كابيزا، تقنية التصوير بالرنين المغناطيسي الوظيفي لرصد ما يحدث داخل الدماغ أثناء لحظات “الوجدان” أو “لحظة آها” (Aha moments)، وهي تعبير مجازي عن لحظة اكتشاف أو فهم فجائيه.
وكشفت الدراسة التي نشرت في مجلة Nature Communications أن هذه اللحظات الإدراكية المفاجئة تترك أثرا عميقا في الذاكرة، حيث تزيد من قوة تذكر المعلومات بنسبة تصل إلى الضعف مقارنة بالحلول التي يتم التوصل إليها بطرق منهجية تقليدية.
وما يجعل هذه النتائج أكثر إثارة هو أن قوة لحظة الإلهام ترتبط طرديا بمدى تذكر الحلول بعد أيام. فكلما كانت لحظة الإدراك أكثر وضوحا وقوة، زادت احتمالية تذكر الفرد للحل بعد خمسة أيام من التوصل إليه.
ويرجع هذا التأثير المذهل إلى سلسلة من التغيرات العصبية التي تحدث في مناطق محددة من الدماغ أثناء لحظات الإشراق.

وعندما يمر الشخص بلحظة وجدان، يشهد الدماغ انفجارا حقيقيا في نشاط منطقة الحصين (قرن آمون)، تلك المنطقة الصغيرة التي تلعب دورا محوريا في عمليات التعلم وتكوين الذاكرة.
كما تظهر تغيرات جذرية في نمط إطلاق الخلايا العصبية في القشرة القذالية الصدغية البطنية، وهي المنطقة المسؤولة عن التعرف على الأنماط البصرية ومعالجة المعلومات المرئية.
ولعل الأكثر إثارة هو ما لاحظه العلماء من زيادة ملحوظة في كفاءة الاتصال بين مختلف مناطق الدماغ أثناء لحظات الإلهام. وكما يوضح البروفيسور كابيزا: “تتواصل المناطق المختلفة مع بعضها بعضا بشكل أكثر كفاءة أثناء هذه اللحظات”، ما يخلق نوعا من التكامل العصبي الفريد الذي يفسر قوة هذه التجارب وتأثيرها الدائم على الذاكرة.
وتفتح هذه النتائج آفاقا جديدة في مجال التعليم وطرق التدريس، حيث تشير إلى أن البيئات التعليمية التي تشجع على الاكتشاف الذاتي وتحفيز لحظات الوجدان قد تكون أكثر فعالية في تعزيز الفهم العميق والاحتفاظ بالمعلومات على المدى الطويل.
كما تثير هذه الاكتشافات أسئلة عميقة حول طبيعة الإبداع وآليات حل المشكلات في الدماغ البشري، ما يضع الأساس لمزيد من الأبحاث المستقبلية التي قد تكشف النقاب عن المزيد من أسرار العقل البشري وقدراته المدهشة.



